Kasvainlausunnon salat – osa 1 Kasvutapa
Biopsialausunnossa histopatologinen kuvailu on usein laaja osa, mutta saattaa tuntua turhalta ja vaikeasti ymmärrettävältä. Kuvailu vilisee vieraita termejä ja on täynnä pieniä yksityiskohtia. Laaja kuvailu kuitenkin kertoo, että patologi on tutkinut koko näytteen ja arvioinut järjestelmällisesti kaikkia osa-alueita. Histopatologisen kuvailun harjoittelu onkin olennainen osa patologin erikoistumiskoulutusta ja eläinpatologian College-järjestöllä on standardit kuvailun laatimisesta.
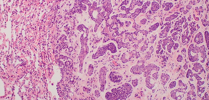
Kasvainten histopatologisessa kuvailussa kasvaimen hyvän- ja pahanlaatuisuutta arvioidaan useilla kriteereillä. Hyvän lausunnon kuvailuosasta lukija voi bongata näitä avainsanoja ja siten ymmärtää, miten ja miksi patologi on päätynyt lopulliseen diagnoosiin.
Tässä kirjoituksen ensimmäisessä osassa tarkastelemme kasvaimen mikroskooppista kasvutapaa ja rakennetta, jotka yleensä käsitellään lausunnon kuvailuosan kahdessa ensimmäisessä lauseessa. Nämä piirteet patologi arvioi ennen yksittäisten kasvainsolujen arviointia, mistä lisää kirjoituksen toisessa osassa.
- Ekspansiivinen vai infiltratiivinen kasvutapa Ekspansiivinen kasvutapa tarkoittaa, että kasvain kasvaa laajentuen ja päätyy painamaan ympäröiviä rakenteita. Yleensä tämä on hitaan kasvutavan ja hyvänlaatuisuuden merkki. Sen sijaan infiltratiivinen kasvain kasvaa tunkeutuen ja luikerrellen ympäröiviin kudoksiin, mikä on tyypillistä pahanlaatuisille kasvaimille. Ekspansiivinen kasvain on usein jo sormituntumalta tarkkarajainen nodula, kun taas infiltratiivinen kasvain on epämääräisempi ja usein vaikea erottaa ympäröivistä kudoksista. Näppituntuma ei kuitenkaan aina johda oikeaan!
- Hyvin rajautunut vai huonosti rajautunut Tämä liittyy läheisesti kasvutapaan. Hyvin rajautuneen kasvaimen patologi pystyy erottamaan helposti terveestä ympäröivästä kudoksesta, kun taas huonosti rajautuneessa kasvaimessa raja on epäselvempi.
- Kapseloitunut vai kapseloitumaton Hyvänlaatuisten kasvainten ympärillä on usein sidekudoksinen kapseli. Kasvaimen ympärillä voi olla myös ns. pseudokapseli, joka muodostuu, kun kasvain kasvaa ekspansiivisesti ja ympäröivän kudoksen olemassa olevat sidekudosjuosteet painuvat kasvaimen ympärille. Kapselin puuttuminen ei automaattisesti tarkoita pahanlaatuisuutta, vaikka kapselittomuus onkin tyypillisempää pahanlaatuisille kasvaimille. Esimerkiksi hyvänlaatuisten pyörösoluisten kasvainten, kuten histiosytooman, ympärillä on harvoin kapselia.
- Solukkuus Patologi voi käyttää termejä “kohtalaisen solukas” tai “solurikas”. Kasvaimen solukkuus riippuu paljon kasvaintyypistä. Esimerkiksi lymfoomat ovat aina runsassoluisia, kun taas hyvin erilaistuneet sidekudoskasvaimet voivat olla vähäsoluisia. Solukkuus liittyy myös kasvaimen pahanlaatuisuuteen ja erilaistumiseen. Pahanlaatuisuuden lisääntyessä solukkuus usein kasvaa, koska solut eivät enää erilaistu vaan keskittyvät vain lisääntymiseen.
- Rakenne Epiteliaaliset kasvaimet muodostovat tyypillisesti tubuluksia, rauhasia ja solusaarekkeita, kun taas sukkulasoluiset kasvaimet muodostavat solujuosteita ja -pyörteitä. Pyörösoluisille kasvaimille on tyypillistä tasaisten solulaattojen ja -mattojen muodostaminen. Solukko voi myös olla löyhää tai tiivistä. Kasvaimen pahanlaatuisuuden kasvaessa usein myös kasvutapa muuttuu huonommin erilaistuneeksi eikä kasvainsolukko muodosta enää selviä, tunnistettavia rakenteita.
- Strooma Kasvaimen tukikudos eli strooma arvioidaan aina kasvaimia diagnosoitaessa. Tyypillisesti stroma koostuu sidekudoksesta ja verisuonista (ns. fibrovaskulaarinen strooma). Epiteliaalisilla kasvaimilla strooma on yleensä runsas ja mesenkymaalisilla kasvaimilla niukka. Pahanlaatuiset epiteliaaliset kasvaimet voivat stimuloida ympärilleen voimakasta strooman muodostusta, mitä kutsutaan desmoplasiaksi. Stroomaa ei kuitenkaan pidä sekoittaa mahdolliseen solujen väliaineeseen, jonka tuottaminen on monille mesenkymaalisille kasvaimille ominaista. Esimerkiksi luukasvaimet tuottavat osteoidia.
Seuraavassa osassa tarkastelemme tarkemmin solujen pahanlaatuisuuden piirteitä.



